47歲女長期腰酸背痛、下肢無力 原因竟在「胸部太豐滿」

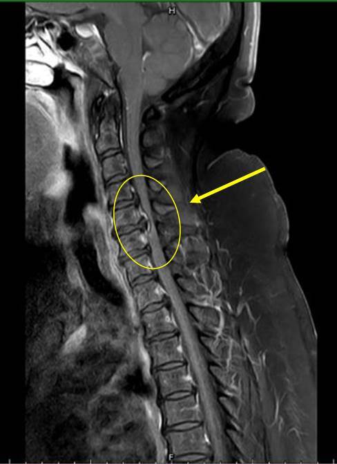
台中豐原一名47歲的吳姓女子,因長期腰酸背痛不適,近3個月開始下肢無力、麻痛,無法工作,甚至需使用四腳拐杖協助才能走動,在先生陪同至衛福部豐原醫院神經外科門診求治,經醫師做神經學評估及安排頸部核磁共振檢查,發現頸部退化椎間盤突出,導致壓迫神經使肢體麻痛無力,診療期間吳女跟醫師說,此次頸椎出問題,應該與自己長期胸部豐滿而導致,最終決定接受縮胸手術,成功解決困擾。

豐原醫院表示,吳女與先生原本就有共識要解決長期乳房過於豐滿的問題,住院期間會診乳房外科趙玟珊醫師,討論乳房縮減手術,討論過後決定立刻接受縮胸手術。據悉,此手術共切除兩側4.5公斤的乳房組織,術後病人感受到胸前壓力大大減輕,而頸椎融合手術也改善下肢麻痛、無力感,後續住院期間持續照護縮胸手術傷口及下肢復健治療,讓夫妻倆感到十分欣慰。
豐原醫院乳房外科醫師趙玟珊表示,胸部過於豐滿主要跟遺傳與飲食有相關,除了會對健康造成影響外,女性易隨著懷孕和年齡增長,使得乳房下垂的情形更為嚴重,對肌肉造成負擔,因下垂的乳房與皮膚摩擦,也容易造成皮膚潰爛及溼疹問題,而胸部豐滿女性就像背了2顆鉛球在胸前,這重擔違反了人體工學,容易造成駝背加劇、胸椎更加後凸,更可能造成「駝背」。

神經外科醫師張正一指出,身體為了平衡駝背,易導致頭部自動往前移,讓肩頸痠痛產生,外觀上易變成「永久低頭族」,如此易傷頸椎。因此,趙玟珊提醒民眾,造成下肢無力會有許多原因,必要時盡早求醫做檢查,甚至與醫師討論自身狀況,或許會有意外的發現,才能徹底改善原因,達到治療效果。
延伸閱讀
- 三總內湖院區電腦當機2小時 掛號.領藥改紙本2024/07/04
- 「油包肉」肌少型+肥胖死亡風險高 營養師:2類人注意2024/06/26
- 60歲男3度腸阻塞送急診 體重暴瘦10公斤 竟是這原因導致2024/05/24
- 誇張!男騎機車夜闖醫院超商 友人全程跟拍2024/07/03
- 租屋男到醫院裝水被嗆「偷幹水」 網推1APP:可查免費裝水點2024/06/21
- 50歲婦人肚痛1年 超音波檢查竟是「無聲癌」5個月後離世2023/12/27
- 台北長庚修繕門診將遷移 心臟內科9/9起看診2024/06/28
- 前線醫怨「輸液」不足 林靜儀致歉:將再進口30萬袋2024/06/23
- 25歲男「未婚想結紮」 這理由不想要小孩 醫一聽羨慕了2024/03/08
- 10歲女童發高燒、左眼腫 醫斷層掃描驚:眼窩蜂窩組織炎2024/05/23
- 男學生菸齡3年「腳發黑血栓」險截肢 醫無奈揭1趨勢2024/05/27
- 國內新冠、流感疫情流行 疾管署:醫療照護機構視需求可要求戴口罩2024/07/04







