63歲婦人「變胖無力又高血壓」 竟罹罕見庫欣氏症

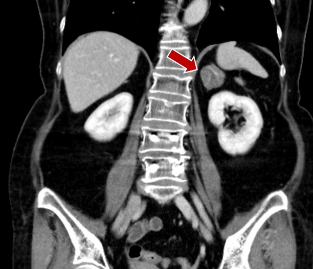
63歲張女士近半年飲食正常,體重卻快速增加,除腰部衣服變緊、臉變圓外,小腿肌肉量也大幅減少,走不遠就腳痠需要休息,且常有高血壓、頭痛、失眠、疲倦無力等病症,趕緊就醫。經心臟血管科及新陳代謝科診斷,排除腦下垂體疾病後,安排電腦斷層檢查,發現其右側腎上腺有顆3.6公分的腫瘤,確診罹患較罕見的「庫欣氏症」。
庫欣氏症為壓力荷爾蒙引起 女性發病率為男性3倍
台北慈濟醫院泌尿科醫師許竣凱表示,庫欣氏症是一種因腎上腺皮質過度分泌皮質醇(又稱壓力荷爾蒙)所引起的罕見疾病,每百萬人口每年僅有10個病例,常因症狀較難和其他疾病做區分,或因非典型呈現及進展緩慢而被忽略。
許竣凱指出,庫欣氏症大致可分為外源性及內源性,外源性多是未注意的情況下,誤用含類固醇的止痛劑或不明藥物,造成體內壓力荷爾蒙過多,而內源性則是指罹患腎上腺腫瘤或腦下垂體功能異常等,常見於20至60歲人士,女性發病率是男性的3倍。典型症狀有失眠、高血壓、體重增加、中廣型肥胖、月亮臉及水牛肩,另會因皮膚薄而容易瘀青、傷口不容易癒合和骨質疏鬆等,甚至會併發躁鬱症。

體重異常增加、臉變圓、後頸變厚 應立即就醫
許竣凱說,治療庫欣氏症的最終目的是減少皮質醇過多之問題,臨床醫師會先詢問病人是否有在服用藥物,排除外源性因素後,經尿液、血液、電腦斷層等系列檢查,確認病因是腎上腺腫瘤引起,而後交由泌尿科醫師切除腫瘤。術後醫師會開立類固醇藥物,以利壓力荷爾蒙之控制,而後病人只要熬過約3個月的適應期症狀(如腸胃不舒服等),半年內即可恢復過往狀態。
院方表示,所幸張女士由醫師執行腹腔鏡腎上腺切除手術切除腫瘤之後,張女士配合藥物治療,逐步降低身體對皮質醇的依賴,六個月內體重下降到7公斤,且不需再服用高血壓藥,體力也逐漸恢復,回到原本喜愛的烹飪工作。
許竣凱提醒民眾,若在正常飲食情況下,出現體重異常增加、臉變圓、後頸變厚等症狀,應進一步前往就醫,確認是否為內分泌異常導致,切勿盲目瘦身;特別提醒高血壓患者,在服用控制藥物後,卻遲遲不見好轉,更應盡速就醫,避免延誤治療。

延伸閱讀
- 中年婦人「肩骨痛」求醫 竟罹肺腺癌合併骨轉移2021/02/25
- 過年「一天追完50集韓劇」 輕熟女眼前一片黑急就醫2021/02/23
- 「荸薺加蔥煮湯」可排腎結石?專業人士說話了2021/04/16
- 坊間流傳綠皮香蕉燉雞腳治骨痛?醫:血脂恐增高2021/02/23
- 妙齡女角膜破皮「狂嘔吐」 網購廉價隱眼惹的禍2020/12/17
- 聚餐狂吃鍋...還把湯喝光!45歲男痛風發作「痛到瘋」2020/12/30
- 75歲婦人「肛門痛爆」以為痔瘡 醫檢查後竟是皮蛇2021/03/10
- 她吃點東西就好飽!醫驚:肝水泡「比排球還大」2021/01/27
- 玩耍出意外!80公分箭矢「射進7歲男童右臉」2021/02/25
- 長拳頭大腫塊、乳頭頻滲血... 54歲男確診罹乳癌2021/03/09
- 吃播主過年「狂吃後突失聲」 醫教預防咽喉逆流2021/02/18
- 生飲甘甜山泉水要小心!醫警告:嚴重恐致敗血症2021/03/30








